DICA DE SAÚDE DA SEMANA
VOCÊ TEM BRUXISMO?
O bruxismo é uma desordem funcional caracterizada pelo fato de ranger ou apertar os dentes de forma contínua e frequente, principalmente durante o sono. Essa pressão pode levar ao desgaste e amolecimento dos dentes. Em casos mais graves, podem até ocorrer problemas ósseos, na gengiva e na articulação da mandíbula (ATM). Essa disfunção, possivelmente está ligada a fatores genéticos, situações de estresse, tensão, ansiedade ou problemas físicos de oclusão ou fechamento inadequado da boca. Geralmente, a primeira pessoa a perceber a presença do bruxismo é o cônjuge de quem sofre dessa condição, pelo fato de ser incomodada pelo ranger dos dentes durante o sono. Porém, o próprio paciente também pode identificá-lo, ficando atento aos sintomas.
- Desgaste e amolecimento dos dentes;
- Cefaleia (dor de cabeça);
- Dor e zumbido no ouvido;
- Dor no pescoço, mandíbula e músculos da face;
- Estalos ao abrir e fechar a boca;
- Alterações do sono;
- Sensibilidade exagerada dos dentes.
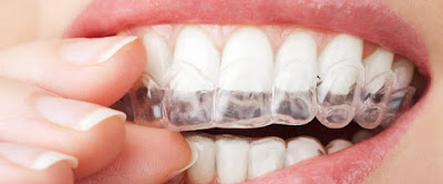
Ainda não há um tratamento específico para curar o bruxismo; mas medicamentos ansiolíticos são úteis para o controle do estresse e ansiedade. Os recursos mais indicados para o tratamento são as placas interoclusais flexíveis de silicone ou placas rígidas de acrílico que são moldadas de acordo com o formato da arcada dentária do paciente. Essas placas ajudam a restringir os movimentos dos músculos mastigatórios, reduzindo assim, o atrito que provoca o desgaste dentário. O ideal é consultar o dentista regularmente; procurar não mascar chicletes ou morder objetos duros como pontas de lápis ou canetas; praticar exercícios físicos regularmente para o controle do estresse e da ansiedade; não se esquecer de usar a placa interoclusal antes de dormir.
Enfermeira Rebeca Revorêdo Sinedino


Nenhum comentário:
Postar um comentário